Skip to content
Call Now: 949-644-9181
Newport Beach Dentistry
General Practice
Home
About Us
Meet The Doctors
Office Tour
Blog
New Patients
Before And After
Dental FAQs
Financial Information
Patient Forms
Specials
Your First Visit
Dental Services
Cosmetic Dentistry
Dental Bonding
Lumineers
Smile Makeovers
Teeth Whitening Trays
Teeth Whitening with Opalescence Go
Veneers
Endodontic Treatment
Cracked Teeth
Post & Core
Pulp Regeneration
Root Canal Therapy
Root Canal Retreatment
Root Resorption
Traumatic Injuries
Vital Pulp Therapy / Pulpotomy
General Dentistry
Dental Bridge
Dental Cleanings
Dental Crowns
Dental Sealants
Enamel Shaping
Fillings
Fluoride Treatments
Lingual Frenectomy
Mercury Safe And Mercury Free
Occlusal Disease Treatment
Sedation Dentistry
Snoring
Tooth-Colored Fillings
Tooth Perforation Repair
Oral Surgery
Tooth Extractions
Wisdom Teeth Removal
Orthodontic Treatment
Clear Aligners
ClearCorrect Aligners
Emergency Care
Invisalign
Invisalign FAQ
Orthodontic Mouthguards
Pediatric Dentistry
BPA-Free Tooth-Colored Fillings
Interceptive Orthodontics
Pit And Fissure Sealant
Periodontal Care
Arestin
Gingivectomy
Guided Tissue Regeneration
Gum Contouring & Reshaping
Gum Grafting
Laser Therapy
Periodontal Cleaning
Periodontal Splint
Scaling And Root Planing
Preventive Dentistry
BreathRX
Custom Mouthguard
Occlusal Night Guards
Oral B Toothbrush
Oral Cancer Screenings
Rotadent
Silver Diamine Fluoride
Waterpik
Prosthodontics
Dental Implants
Flippers And Removable Partial Dentures
Full and Partial Dentures
Hybrid Prosthesis
Implant Restoration
Implant-Retained Dentures
Implant-Retained Partials
Technology
Bioceramic Root Canal Sealers
Digital X-Rays
Intraoral Camera Technology
Laser Therapy
Ultrasonics
Teeth Whitening Trays
Teeth Whitening With Opalescence Go
Reviews
Request An Appointment
Book Online
Home
About Us
Meet The Doctors
Office Tour
Blog
New Patients
Before And After
Dental FAQs
Financial Information
Patient Forms
Specials
Your First Visit
Dental Services
Cosmetic Dentistry
Dental Bonding
Lumineers
Smile Makeovers
Teeth Whitening Trays
Teeth Whitening with Opalescence Go
Veneers
Endodontic Treatment
Cracked Teeth
Post & Core
Pulp Regeneration
Root Canal Therapy
Root Canal Retreatment
Root Resorption
Traumatic Injuries
Vital Pulp Therapy / Pulpotomy
General Dentistry
Dental Bridge
Dental Cleanings
Dental Crowns
Dental Sealants
Enamel Shaping
Fillings
Fluoride Treatments
Lingual Frenectomy
Mercury Safe And Mercury Free
Occlusal Disease Treatment
Sedation Dentistry
Snoring
Tooth-Colored Fillings
Tooth Perforation Repair
Oral Surgery
Tooth Extractions
Wisdom Teeth Removal
Orthodontic Treatment
Clear Aligners
ClearCorrect Aligners
Emergency Care
Invisalign
Invisalign FAQ
Orthodontic Mouthguards
Pediatric Dentistry
BPA-Free Tooth-Colored Fillings
Interceptive Orthodontics
Pit And Fissure Sealant
Periodontal Care
Arestin
Gingivectomy
Guided Tissue Regeneration
Gum Contouring & Reshaping
Gum Grafting
Laser Therapy
Periodontal Cleaning
Periodontal Splint
Scaling And Root Planing
Preventive Dentistry
BreathRX
Custom Mouthguard
Occlusal Night Guards
Oral B Toothbrush
Oral Cancer Screenings
Rotadent
Silver Diamine Fluoride
Waterpik
Prosthodontics
Dental Implants
Flippers And Removable Partial Dentures
Full and Partial Dentures
Hybrid Prosthesis
Implant Restoration
Implant-Retained Dentures
Implant-Retained Partials
Technology
Bioceramic Root Canal Sealers
Digital X-Rays
Intraoral Camera Technology
Laser Therapy
Ultrasonics
Teeth Whitening Trays
Teeth Whitening With Opalescence Go
Reviews
Request An Appointment
Book Online
Before And After
You are here:
Home
New Patients
Before And After
Bonding
Composites
Crowns
Enameloplasty
Invisalign
Veneers
Whitening
Extraction & immediate implant placement
Dental Implants
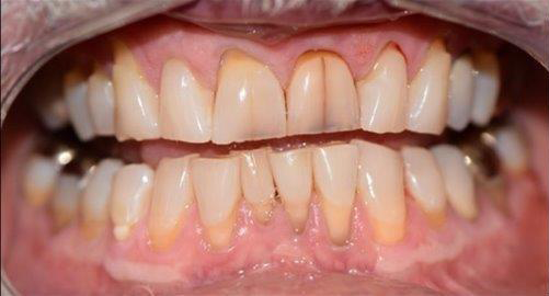
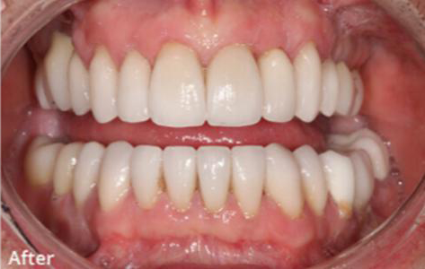
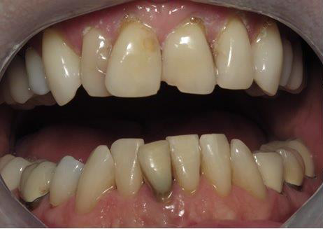
Smile Makeover
Wisdom Teeth Extraction
Root Canal
Go to Top